 Tecido epitelial de revestimento pavimentoso simples (seta)
|
 Tecido epitelial de revestimento cúbico simples sem microvilos (seta) |
 Tecido epitelial de revestimento cúbico simples com microvilos (seta) |
 Tecido epitelial de revestimento pseudo-estratificado cilíndrico ciliado com células caliciformes (seta) |
 Tecido epitelial de revestimento pseudo-estratificado cilíndrico com estereocílios (seta) |
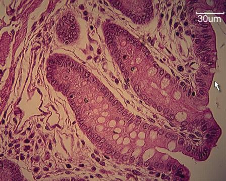
 Tecido epitelial de revestimento simples cilíndrico com microvilos e células caliciformes (seta) |
 Tecido epitelial de revestimento de transição (seta) |
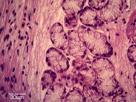
 Tecido epitelial glandular glândula sebácea |
 Tecido epitelial glandular glândula sebácea (seta) |
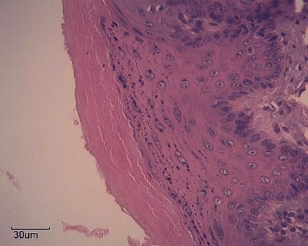
 Tecido epitelial de revestimento estratificado pavimentoso queratinizado (seta) |
 Tecido epitelial de revestimento estratificado pavimentoso queratinizado (seta) |
 Tecido epitelial de revestimento estratificado pavimentoso não queratinizado |
 Tecido epitelial glandular exócrino ácino seroso (seta) |
 Tecido epitelial glandular exócrino ácino mucoso na glândula salivar |
 Tecido epitelial glandular exócrino glândula tubulosa simples |
 Tecido epitelial glandular exócrino ácino misto (glândula salivar menor) |
 Tecido epitelial glandular exócrino ácino misto (glândula salivar menor) |
 Tecido epitelial glandular exócrino glândula tubulosa simples |
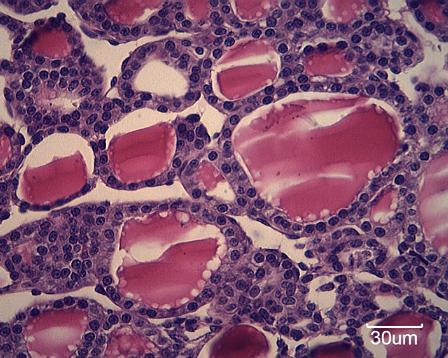
 Tecido epitelial glandular endócrino vesicular (tireóide) |
 Tecido epitelial glandular endócrino glândula cordonal no pâncreas (seta) |
 Tecido epitelial glandular endócrino endócrino cordonal (adrenal) |